Hvorfor er magefettet farlig?

Du kan ha skadelig magefett selv om du er slank.Sjekk tegnene på farlig magefett, og lær mer om hvordan du best blir kvitt magefettet.

Glade kvinner i undertøy

Det er ikke uten betydning hvor på kroppen fettet sitter.

© iStock

Fettets plassering er viktigst

Fettet mellom innvollene er en tikkende helsebombe. Derfor har leger og eksperter de senere årene blitt mer opptatt av hvor fettet befinner seg, enn av mengden fett. Begrepet tynnfedme har dukket opp i helsedebatten, og de fleste av oss vet nå at tynn ikke nødvendigvis betyr sunn.

Begrepet tynnfedme brukes på mennesker som ser slanke ut, men som har fett mellom innvollene og rundt organene i bukhulen. Når det hoper seg opp fett der, skyldes det en usunn og inaktiv livsstil.

Fettvevet i bukhulen er mer skadelig for helsa enn det fettet som sitter på baken og lårene. Fettet i mageregionen skiller nemlig ut en rekke skadelige signalstoffer, som sirkulerer rundt i hele organismen via de store blodårene i bukhulen. Her fører de til økt risiko for insulinresistens, som er forstadiet til diabetes og en lang rekke andre helsetrusler. Nettopp derfor er det viktig at du får avdekket bukhulefettet (hvis du har det) og setter inn tiltak for å bli kvitt det.

Læs også: Hvad er en normal fedtprocent?

Det eneste som kan avsløre om du faktisk går rundt med det livsfarlige fettet i magen, er en MR-skanning. Men det finnes også en rekke kjennetegn som kan indikere om det gjelder deg eller ikke. Sjekk lista nedenfor og få tips til å bli kvitt noe av fettet.lige typen.

Slik blir du kvitt farlig magefett

Sjekk om magefettet sitter rett under huden

Slik konstaterer du det:

Se deg i speilet! Er du oppblåst, men det varierer hvor mye fra dag til dag, er det ikke nødvendigvis grunn til bekymring. Det er nemlig et tegn på at det ikke er fett, men tarmene som er problemet. Det kan f.eks. skyldes at du spiser matvarer som irriterer tarmen.

Er det en synlig valk, er heller ikke det umiddelbar grunn til bekymring, med mindre valken ligger utenpå en mage som strutter veldig. Andre kjennetegn:

  • Midjemålet ditt er over 80 cm.
  • Du får lett tak i en bilring, og får en solid håndfull.
  • Magen “flyter ut” og blir vesentlig flatere når du legger deg ned sammenliknet med når du står.

Les også: Slik måler du midjemålet

Helsevirkning:

Denne typen magefett er ikke på langt nær så skadelig. Det skjer bare en liten utskillelse av skadelige cytokiner til blodbanen, og fettet setter seg ikke rett rundt de indre organene og hemmer funksjonen. Men alt fett på magen regnes for å være mindre sunt enn fett på lårene og baken, så du gjør fortsatt helsa en tjeneste ved å bli kvitt det.

Derfor får du det:

Kort og godt -du spiser flere kalorier enn du forbrenner. Ellers kan du takke foreldrene dine, ettersom kroppssammensetningen påvirkes av arvelige faktorer.

Forebyggende råd:

Oppskriften er enkel - men likevel vanskelig. La være å spise mer enn du forbrenner. De fleste kan klare det, dersom de holder igjen på matvarer som metter dårlig, f.eks. søtsaker, brus, sukker, hvitt brød, pasta og ris. Det er dessuten viktig å være fysisk aktiv flere ganger i uken og få nok søvn.

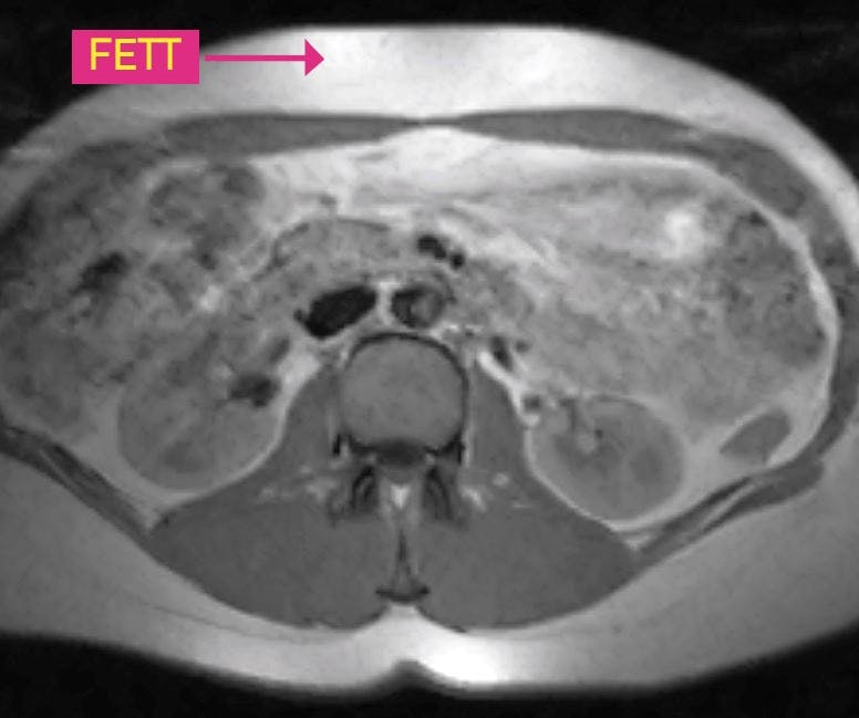
Magefett rett under huden

MAGEFETT RETT UNDER HUDEN Tverrsnitt av mage. Denne personen har en del magefett (det hvite) rett under huden, men har minimalt med fett mellom innvollene.

Sjekk om magefettet sitter mellom innvollene

Slik konstaterer du det:

Det er nødvendig med en MR-skanning for å kunne konstatere om du har fett mellom organene. Er du i faresonen, så snakk med legen om en henvisning, eller sjekk følgende kjennetegn:

  • Magen bevarer stort sett fasongen, uansett om du står eller ligger.
  • Midjemålet er over 88 cm på det kraftigste stedet over hofta.

Les også:: Midje-hofte-ratio: Test fettfordelingen din

Helsevirkning:

Undersøkelser viser at fett mellom innvollene disponerer sterkt for alle de sykdommene som er knyttet til fedme. Det gjelder både diabetes, hjerte- og karsykdom, høyt blodtrykk, noen kreftformer, giktlidelser, nedsatt fertilitet og mye annet.

Årsaken:

Det er en økt risiko for å få mye magefett mellom innvollene, dersom du trener lite eller ingenting. Det blir ikke noe bedre dersom manglende bevegelse kombineres med for mange karbohydrater i form av f.eks. søtsaker, loff, kaker og brus. Alkohol disponerer også for fettopphopning i bukhulen, og stress og søvnmangel øker også risikoen.

Forebyggende råd:

Det er det samme uansett hvilken type magefett du har, rådet er: Beveg deg hver dag, og velg fysisk krevende mosjon minst tre ganger i uka. Sørg dessuten for en livsstil med sunn mat og nok søvn. Ikke røyk, og unngå stress over tid.

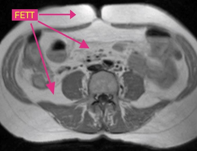
For mye mellom innvollene

FOR MYE MELLOM INNVOLLENE Tverrsnitt av mage. Denne personen har både mye magefett (det hvite) rett under huden og mellom innvollene.

Bli kvitt farlig magefett

Enten fettet sitter mellom innvollene eller rett under huden, er det lurt å gå ned i vekt hvis du veier for mye. Følg vårt opplegg, og bli kvitt ½–1 kilo fett i uken.

LES OGSÅ: BMI-KALKULATOR - Regn ut om du er normalvektig

1. Kutt ned på kaloriene

Først og fremst handler det om å spise mindre enn du forbrenner. Sats på å spise rundt 1500 kcal om dagen.

Den ideelle energifordelingen utover dagen:

  • Morgen/frokost 20–25 %
  • Formiddag 10 %
  • Lunsj 20–25 %
  • Ettermiddag 15–20 %
  • Kveld/middag 25–30 %

Hvis du vet at du rekker å bli sulten før sengetid, så spis litt mindre til middag, og spar noen kalorier til et lite kveldsmåltid.

Vi vet alt om den lille lysten på noe godt. Derfor vrimler det av oppskrifter på sunn snacks på I FORMS hjemmeside.

2. Vær fysisk aktiv

I tillegg til at du forbrenner massevis av kalorier når du beveger deg, er et annet viktig poeng ved mosjonen at du ”vekker” musklene, slik at de i økende grad fjerner fett og karbohydrater fra blodbanen. Det hjelper deg med å bli kvitt bilringene, og forebygger samtidig opphopning av fett i bukhulen. Både kondisjonstrening og styrketrening bidrar til en sunnere kroppskjemi. Derfor er det optimalt å velge treningsformer som involverer de store muskelgruppene og inneholder både utholdende distansetrening og eksplosive kraftutfoldelser. Du kan for eksempel kjøre sirkeltrening, der du får trent hele kroppen grundig. I tillegg til ren trening tre–fire ganger i uka er det viktig å bevege seg i hverdagen. Gå f.eks. en lang tur de dagene du ikke trener.

Her finner du treningsprogrammet som passer best til dine treningsbehov.

3. Spis blodsukkervennlig

Spis et måltid hver tredje time. Det bør inneholde 15–25 gram karbohydrat. Totalt for hele dagen bør du ikke få i deg mer enn 100 gram karbohydrat, med mindre du trener.Velg konsekvent grove grønnsaker som erter, brokkoli og blomkål.

Spis alltid et måltid som har både proteiner, fett og karbohydrater. Minstemålet for protei­ner er 15 gram per måltid.

Pass på at du får i deg nok protein. Protein fordøyes i magesekken - i motsetning til andre næringsstoffer. Protein fordøyes i magesekken, i motsetning til andre næringsstoffer. Prosessen tar tid, og derfor fyller et proteinrikt måltid opp i magen i lengre tid. Det er perfekt, for proteinene forsinker opptaket av karbohydrater fra magesekken, slik at de ikke fyker rett ned i tarmen og sender blodsukkeret i været. Langsomt opptak av karbohydrater betyr mindre blodsukkerstress og dermed mindre fett på magen.

Trenger du inspirasjon til lette og sunne oppskrifter? Her finner du dem.

4. Stress mindre

Få kontroll over stresset – det er avgjørende for å bli kvitt magefettet. Vend blikket innover og gå gjennom hverdagen din. Er du ofte stresset, så vurder om du kan gjøre noe for å redusere problemet. En god metode er oppmerksomhetstrening. En enkel 20-minutters meditasjon om morgenen gjør underverker for stressnivået.

Husk også at en rask gåtur eller trening med smil har god virkning på stress.

Er du stresset?Her er fire tips til mindre stress i hverdagen.

5. Sov godt

Nattesøvnen har avgjørende innflytelse på overskuddet. Prioriter sengetiden, slik at du får minst sju timers søvn. Viktigere enn varigheten er likevel at du våkner frisk og uthvilt av deg selv før vekkeklokka ringer. Du kan påvirke søvnkvaliteten ved å unngå oppkvikkende stimulanser i kveldstimene, dempe lyset de siste timene før du skal legge deg og holde deg unna e-post og sms sent på kvelden. En god dyne, god plass i senga, skikkelig mørklegging og frisk luft i rommet bidrar til bedre søvnkvalitet.

Har du styr på søvnen? Her kan du teste hvor mange søvntabber du gjør.

6. Vær forsiktig med alkohol

Alkohol øker risikoen for magefett og bremser dessuten fettforbrenningen i kroppen. Derfor er det viktig å redusere alkoholinntaket til et minimum eller kutte helt ut. To enheter i uka er absolutt maks (1 enhet svarer til 1 øl, 1 glass vin eller 1 liten drink).

Les også hvor mye alkohol påvirker treningen.

7. Velg riktig fett

Ikke vær redd for fett i måltidene. Så lenge du har styr på kaloriene, er det ingen begrensning på fettinntaket. Tvert imot er fett med på å gjøre et måltid blodsukkervennlig. Prioriterer du å få i deg sunne enumettende fettsyrer, kan fettet til og med bidra til å redusere risikoen for enkelte livsstilssykdommer, som vanligvis forbindes med for mye magefett.

Du får enumettet fett fra:

  • Olivenolje
  • Rapsolje
  • Pekannøtter
  • Hasselnøtter
  • Mandler og kasjunøtter
  • Oliven
  • Peanøtter og paranøtter
  • Avokado